

Ma Prothèse de genou
MA PROTHESE DE GENOU
Qu'est ce que l'arthrose du genou? Qu'est ce qu'une prothèse du genou? Quels conseils pour m'accompagner dans mon opération...
Docteur Frédéric SAILHAN Docteur Jean-Marie POSTEL Docteur Luc KERBOULL
Je vais me faire opérer d'une prothèse du genou...
Comment me préparer à l'intervention ?
Toutes les étapes qui précèdent l'opération vous sont expliquées dans cette page:
-
le bilan à faire avant l'opération
-
les consultations avec le chirurgien et l'anesthésiste
-
les examens radiographiques... jusqu'à votre hospitalisation
"J'ai décidié de me faire opéré de mon genou qui souffre d'arthrose car" :
Je souffre de mon genou depuis déjà quelques années
Je prends des antalgiques ou des ainti-inflammatoires et ils ne me soulagent plus ou pas assez...
J'ai déjà eu plusieurs infiltrations dans le genou mais elles ne me soulagent que partiellement ou temporairement.
..... dans ce cas il est légitime de discuter d'une prothèse de genou
Pour se préparer à une intervention de prothèse du genou il faut s'y prendre plusieurs mois à l'avance ... pourquoi?
Les raisons de ce délai sont les suivantes:
-
rencontrer mon chirurgien orthopédiste et lier une relation de confiance
-
faire les examens nécessaires avant l'opération et rencontrer mon anesthésiste
-
en discuter avec mon médecin généraliste ou mon rhumatologue
-
lire attentivement les documents fourni par mon chirurgien: le formulaire de consentement, la fiche d'information...
C'est le moment de faire mon bilan pré-opératoire
Ce bilan peut être prescrit par mon chirurgien orthopédiste
QUEL EST CE BILAN?
-
Bilan biologique complet: ce sanguin permet de faire le point sur votre état de sante global et de rechercher des insuffisances ou des déficits: hémoglobine, fer, fonction rénale etc...
-
Une consultation chez votre Cardiologue: consultez votre cardiologue habituel. Il devra s'assurer qu'il n'y a pas de contre-indication à faire cette opération et vous fera passer un électrocardiogramme
-
Une consultation chez le dentiste avec un panoramique dentaire: il permet de rechercher et de traiter un foyer infectieux
-
Un Echo-Doppler artériel et veineux des jambes et de cou: il permet de vérifier l'état de vos vaisseaux avant l'opération
-
Un bilan radiographique détaillé pour la programmation de la prothèse du genou: ces radiographies doivent être faites à la Clinique ARAGO.
-
En cas de prothèse du genou avec Assistance Robotique, alors il faudra faire un SCANNER du genou avant l'opération pour réaliser le planning opératoire avec le logiciel dédié.
Le moment de la consultation d'anesthésie
Lors de cette consultation vous allez rencontrer l'anesthésiste qui travaille avec votre chirurgien
De plus nous tenons à ce que ce soit l'anesthésiste qui vous a vu en consultation qui soit celui qui va vous endormir puis qui va vous prendre en charge tout au long de votre hospitalisation
Comment se déroule la consultation d'anésthésie?
Votre anesthésiste va vous examiner
Il va prendre connaissance de tous les examens (prise de sang, électrocardiogramme, consultation cardiologique etc...) que vous aurez fait AVANT de la voir et que vous lui apporterez
Il va lire le questionnaire d'anésthésie que vous aurez rempli avant de la voir ou en salle d'attente
Enfin vous discuterez avec lui du mode d'anesthésie choisi: anesthésie générale, préridurale... Il vous en expliquera le principe, les avantages et les risques
Votre anesthésiste pourra vous prescrire d'autres examens si nécessaire et éventuellement demander à vous revoir une nouvelle fois avant l'intervention
Le bilan radio doit être fait à la Clinique ARAGO
Vous devrez faire vos radiographies à la Clinqiue ARAGO, c'est impératif (pas besoin de prendre RDV vous ferez ces radio le jour de la consultation avec le chirurgien ou avec l'anesthésiste!)
Ceci est nécessaire car nous travaillons avec un logiciel précis et dédié à la chirurgie orthopédique et en particulier à la programmation des prothèse de genou
Ces radiographies seront calibrées sur notre logiciel pour déterminer avec précision la taille de la prothèse nécessaire pour votre genou
Les radiographies que vous allez passer
-
Une radiographie du genou de FACE
-
Une radiographie du genou de Profile
-
Un défilé-fémoro-patellaire (c'est-à-dire une radio de l'articulation entre la rotule et le fémur
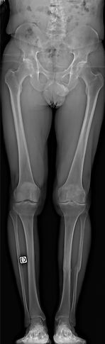
-
Une PANGONOMETRIE : c'est une radiographie de l'ensemble de vos deux membres inférieurs qui permettra de mesurer la déformation de votre genou pour pouvoir la corriger
Défilé fémoro-patellaire
Radiographie de Face et de Profile avec calibrage
Pangonométrie
Perdre du poids
Arrêter de fumer
Avoir une vie saine et rester actif
Les complications principles d'une prothèse de genou...
L'infection de la prothèse. Elle peut être nosocomiale (c'es-à-dire contractée dans l'année suivant l'opération) ou non. Le résultat en est le même il faudra réopérer pour nettoyer la prothèse ou pour la changer et il faudra vous traiter avec des antibiotiques par voie intra-veineuse.
L'hématome. Il apparait le plus souvent rapidement dans les jours ou les semaines suivants l'opération. Il peut nécessiter une intervention pour l'évacuer.
La phlébite et l'embolie pulmonaire. Les anti-coagulants donnés après l'opération vous protègent en partie contre ce risque.
Toutes intervention chirurgicale comporte des risques... tout le monde le sait!
Qui n'a pas entendu parlé de l'infection nosocomiale ? D'un hématome ou d'un problème de cicatrice ?
Ces risques existent mais sont heureusement rares.
Heureusement il est possible de diminuer ces risques de complications... Voici comment...
Perdre du poids!
C'est essentiel. Si vous êtes en surpoids, le fait de maigrir va diminuer de manière très significative votre risque de complication, en particulier le risque de développer une infection de la prothèse ou d'avoir un problème de cicatrisation
Contrôlez votre diabète!
Là encore si vous êtes diabétique (y compris sans insuline) il est impératif de contrôler très attentivement votre glycémie pour diminuer les risques opératoires et le risque d'infection
Restez actif!
Garder un niveau d'activité minimum est essentiel avant l'intervention pour conserver des muscles fonctionnels et toniques. Vos muscles sont indispensables pour rééduqeur votre genou après l'opération
Arrêter de fumer!
Si vous êtes fumeur(se) il est important de diminuer significativement votre consommation ou idéalement d'arrêter de fumer pour diminuer les risques de problème de cicatrisation , diminuer les risques d'infection ou de complicaitons respiratoires
Retenez que de très nombreuses études scientifiques ont prouvées depuis longtemps que le surpoids, le tabac et le diabète augmentent très nettement les risques pendant et après une intervention chirurgicale
Une équipe de chirurgiens spécialistes à Paris
ichg.fr
Nos sites de consultation
Nous vous recevons en consultation:
à l'ESPACE MEDICAL VAUBAN, au 2A avenue de Ségur
dans le 7ème à Paris
Rdv: 01 53 59 88 00 / 02 / 05
à la CLINIQUE ARAGO, au 187 rue Raymond Losserand
dans le 14ème à Paris
Rdv: 01 44 08 04 00

Nous vous recevons
... à l' Espace Médical Vauban dans le 7ème , à Paris
Un espace de consultation accueillant et calme
Une équipe de praticiens spécialisés dans les pathologies ostéo-articulaires


value. quality care. convenience.







